A dental crown is a cap-like covering placed over a tooth to restore its shape, size, strength, and appearance. It covers the visible part of the tooth above the gums and works like a protective shell. Crowns are often used when a tooth is weak, broken, or has lost its natural shape.

dental crowns in patia bhubaneswar

They are designed to look like natural teeth, so nobody can notice the difference once they are fixed. Crowns are also used to improve the look of teeth that are discolored or misshapen.

If you are searching for Dental Crowns in Patia, The Partha’s Dental Implant Clinic offers advanced crown treatments that restore both strength and beauty to your smile.

When Do You Need A Dental Crown?

A crown is not just for cosmetic reasons; it also plays a functional role in protecting your teeth.

Common reasons for getting a crown include:
  • To protect a weak tooth from breaking.
  • To restore a tooth that is already broken.
  • To cover a tooth that has a large filling.
  • To support a dental bridge.
  • To cover misshapen or discolored teeth.
  • To cap a dental implant or root canal-treated tooth.

In simple words, a crown helps save your tooth and improve its appearance at the same time.

What Types Of Dental Crowns Are Available?

Crowns come in different materials, each with its own benefits. Your dentist will suggest the best option depending on your needs.

  • Porcelain Crowns – Natural-looking, blend well with teeth, often used for front teeth.
  • Ceramic Crowns – Strong, aesthetic, and suitable for people with metal allergies.
  • Metal Crowns – Very durable, often used for back teeth where chewing pressure is higher.
  • Porcelain-Fused-to-Metal (PFM) Crowns – Combine strength of metal with natural look of porcelain.
  • Zirconia Crowns – Highly durable, stain-resistant, and look very natural.
  • Endo Crowns – Special crowns placed after root canal treatment, designed to strengthen and protect teeth that have lost a lot of structure.
  • Table Top Crowns – Used mainly for back teeth with worn-down chewing surfaces, designed to restore proper bite and function without covering the entire tooth.

How Is A Dental Crown Procedure Done?

Getting a crown usually takes two dental visits, although modern technology sometimes allows same-day crowns.

Step-by-step process:
  • Examination and Preparation – The dentist examines the tooth and prepares it by reshaping it to fit the crown.
  • Impression – A mold or digital scan of the tooth is taken to design the crown.
  • Temporary Crown – A temporary crown may be placed while the permanent crown is being made.
  • Permanent Crown Placement – Once ready, the crown is fixed onto the tooth with dental cement.

The result is a tooth that looks natural, feels strong, and functions just like before.

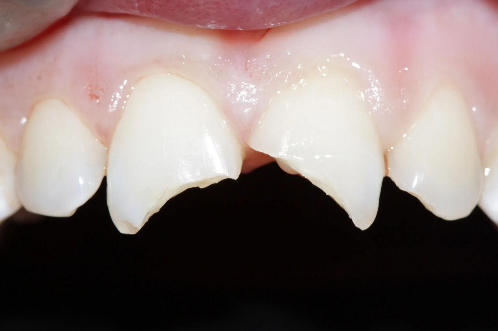
Before

Before

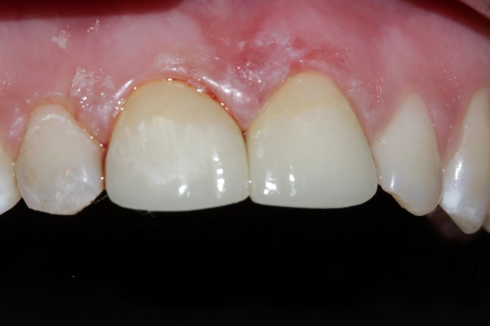
After

After

What Are The Benefits Of Dental Crowns?

Crowns are popular because they offer both functional and cosmetic benefits.

Key benefits include:
  • Protect and strengthen weak teeth.
  • Restore broken or cracked teeth.
  • Improve the appearance of teeth.
  • Support bridges and cover implants.
  • Provide long-lasting results with proper care.

Crowns are a blend of protection and beauty — they not only save your tooth but also improve your smile.

Book An Appointment

How Long Do Dental Crowns Last?

The lifespan of a dental crown depends on the material used, oral hygiene, and daily habits. On average:

  • Porcelain Crowns – 5–10 years
  • Metal and PFM Crowns – 10–15 years
  • Zirconia Crowns – 15+ years

With good oral care, crowns can last much longer. Regular brushing, flossing, and dental visits play a key role in their durability.

Before

Before

After

After

How Much Do Dental Crowns In Patia Cost?

The Dental Crowns cost in Patia depends on several factors:

  • Type of crown: Porcelain, metal, zirconia, or PFM.
  • Tooth location: Back teeth may require stronger crowns.
  • Customization: The design and shade matching are needed.

While crowns may seem like an investment, they are cost-effective because they protect your tooth and prevent more expensive treatments later. At The Partha’s Dental Implant Clinic, crowns are provided with a focus on durability, comfort, and natural appearance.

Quick Guide:Dental Crowns At A Glance

Feature Details
Purpose Restore weak, broken, or misshapen teeth
Types Porcelain, Ceramic, Metal, Zirconia
Time Needed 2 visits
Durability 5–15 years, depending on type
Main Benefits Strength, protection, natural look

How Should You Care For Dental Crowns?

Caring for a crown is similar to caring for natural teeth.

Do’s:
  • Brush twice daily with a soft-bristle toothbrush.
  • Floss gently around the crown.
  • Visit your dentist regularly for check-ups.
Don’ts:
  • Do not use teeth to open packages.
  • Avoid sticky foods if you have a temporary crown.
  • Don’t neglect gum care, as healthy gums are vital for crown support.

asked question

FAQs

No. The procedure is mostly painless, but if you have sensitive teeth, it will be performed under local anesthesia, so you won’t feel any pain during preparation or placement. You may feel slight sensitivity for a few days, but it usually settles quickly.

Crowns can last anywhere from 5 to 15 years, depending on the type, your oral hygiene, and lifestyle habits. With proper care, some crowns last much longer.

Yes. Modern crowns, especially porcelain and zirconia crowns, are designed to match the shade and shape of your natural teeth. Once fixed, they blend seamlessly with your smile.

No special products are needed. Brushing, flossing, and regular dental visits are enough to keep crowns in good shape.

If your crown becomes loose or damaged, you should visit your dentist as soon as possible. The crown can often be repaired or replaced quickly to protect the tooth underneath.

Why Choose Dental Crowns At The Partha’s Dental Clinic?

At The Partha’s Dental Implant Clinic in Patia, dental crowns are planned and designed with care to provide the best fit and appearance. With advanced techniques and attention to detail, the crowns are made to last and give a natural look.

The clinic focuses on:
  • Personalized treatment plans.
  • High-quality materials for long life.
  • A comfortable and stress-free experience.
  • Results that restore both function and aesthetics.

Restore Your Smile with Dental Crowns in Patia

Damaged or weak teeth don’t have to affect your smile or confidence. Dental crowns are a reliable way to strengthen teeth, improve appearance, and restore proper function. If you are considering Dental Crowns in Patia, The Partha’s Dental Implant Clinic is here to provide professional care and long-lasting results.

Book your appointment today and take the first step toward a healthier and more confident smile.